View

소아 진료

소아 치료의 풍부한 경험과 노하우,
아이에게 치과에 대한 긍정적인 경험을 심어줍니다.

건강한 영구치는 건강한 유치에서 시작됩니다.

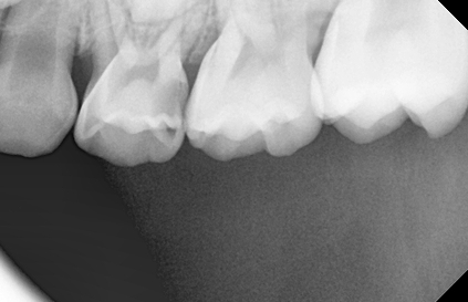
유치는 영구치보다 충치의 발생빈도 및 진행속도가 빠릅니다.
특히 치아 사이면이 쉽게 썩는데, 잘 보이지 않아 가정에서 충치를 발견했을 때에는 이미 치료시기를 놓친 경우가 많습니다.

한편, 유치 치수(치아신경)는 상대적으로 커 조금만 깊이 충치가 진행되면 신경치료까지 해야 하는 경우가 많습니다.

유치를 제 때 치료하지 않으면 뿌리 쪽에 고름이 생겨 유치 아래에 숨겨져 있는 영구치에 손상을 줄 수 있으며,
너무 많이 썩어 유치의 크기에 현저한 변화가 생기거나 조기에 탈락 하게 되면, 치열에 변화를 일으켜 덧니의 원인이 될 수 있습니다.
따라서 유치는 반드시 치료해 주어야 하며 주기적 검진이 필수적입니다.

FIRSTIN DENTAL CLINIC FIRSTIN DENTAL CLINIC

아이의 구강 상태에 맞는 소아 충치치료가 필요합니다.

충치의 깊이가 얕을 경우 GI 또는 레진으로 수복치료를 하게 되며,
충치의 깊이가 깊을 경우 신경치료 후 크라운치료(은니)를 하게 됩니다.

  • 보험재료(GI) 충전

    유치의 충치는 건강보험이 적용되는 글라스아이오노머(GI)로 충전해
    최소 삭제로 통증과 불편을 줄입니다. 불소 방출로 재발 예방에 도움이 되며,
    영구치 맹출 시기와 교합을 고려해 관리합니다

  • 비보험 심미재료(컴포짓 레진) 충전

    비보험 심미재료인 컴포짓 레진으로 충전하여
    치아 색과 자연스럽게 어울리며, 강도가 높아 오래 사용하기 좋습니다.

  • 기성 금속관 수복

    스테인리스로 만들어진 은색의 기성 크라운 보철로,
    충치가 심하거나 신경치료한 유치 어금니를 전체적으로 씌워 보호하는 치료입니다.

소아 충치치료 주의사항

  • 마취가 풀릴 때까지 입술·볼을 물지 않도록 주의하세요.

    감각이 둔해 아이가 입술·볼·혀를 깨물 수 있습니다. 부드럽고 미지근한 음식으로 시작해주세요.

  • 치료 당일은 딱딱한 음식·끈적한 간식을 피하세요.

    카라멜·젤리·엿·견과류 등은 수복물 이탈과 통증을 유발할 수 있습니다.

  • 양치·불소·간식 시간 관리를 꾸준히 이어가세요.

    식후·취침 전 양치, 물로 헹구기, 단 음식은 식사 때만 섭취하도록 습관을 잡아주세요.

소아 충치치료, 자주 묻는 질문을 모았습니다.

  • Q 치료가 많이 아픈가요? 아이가 무서워해요.

    아이 눈높이에 맞춘 설명과 단계적 적응으로 불안을 낮추고, 표면마취 후 국소마취로 통증을 최소화합니다.
    필요 시 행동조절과 보호자 동반 하에 진정 보조 등을 검토해 편안하게 치료합니다.
  • Q 어떤 재료로 메우나요? 보험 적용이 되나요?

    유치 충치는 건강보험 적용되는 글라스아이오노머(GI) 등을 우선 고려해 최소 삭제로 충전합니다.
    영구치는 상황에 따라 치아색 재료 등을 사용하며, 남은 치질·충치 범위에 따라 방법을 선택합니다.
  • Q 일찍 빠진 유치는 어떻게 하나요? 공간유지장치가 뭔가요?

    유치가 조기 탈락하면 영구치가 날 공간이 줄어 치열이 흐트러질 수 있습니다.
    이때 공간유지장치로 자리(공간)를 지켜 향후 교정 부담을 줄이며, 정기 점검으로 높이·위생을 관리합니다.

퍼스트인치과만의 특별함

  • 성장단계 맞춤 진단·계획

    유치와 막 맹출한 영구치의 상태, 턱 성장과 치열 변화를 함께 살펴 아이의 나이와 발육에 맞춘 치료·예방 계획을 세웁니다. 불필요한 처치는 줄이고 꼭 필요한 시기에 알맞게 진행합니다.

  • 아이 눈높이 행동 관리·편안한 진료

    친숙한 설명과 단계적 적응, 부드러운 마취로 불안을 낮춥니다. 보호자와 함께 협력해 치료 협조도를 높이고, 통증·공포를 최소화한 안전한 환경을 제공합니다.

  • 예방 중심의 장기 관리

    정기 검진과 클리닝, 불소·실런트 등 예방 프로그램을 연계하고 양치·간식 습관, 공간유지·신경치료 후 관리까지 체계적으로 안내합니다. 아이가 스스로 실천할 수 있는 구강습관을 함께 만들어 갑니다.

  • 소아전용 진료실

    아이 눈높이에 맞춘 진료 의자와 장비, 편안한 색감의 인테리어로 처음 치과를 방문하는 아이도 부담을 덜 느끼도록 설계했습니다. 보호자가 곁에서 함께 지켜볼 수 있는 소아전용 공간에서 안전하고 편안하게 치료를 받을 수 있습니다.

  • 믿을 수 있는 의료진

    환자 맞춤 진단과 계획을 바탕으로 안전성을 최우선으로 진료하며, 진료 전·중·후 충분한 상담과 안내로 치료 과정의 부담을 줄여드립니다.

신경이 손상된 유치, 통증을 유발하고 방치하면 영구치 손상이 올 수 있습니다.

유치 신경치료는 유치에서 충치가 깊어져 치아 내부의 신경(치수)까지 감염되었을 때 시행하는 치료입니다.
먼저, 감염된 신경 조직과 염증을 제거하고 소독한 후, 신경조직이 있던 자리에 약을 채워 유치를 보존하는 술식입니다.
이를 통해 통증을 해소하고, 유치가 자연스럽게 빠질 때까지 제 기능을 할 수 있도록 도와줍니다.

FIRSTIN DENTAL CLINIC FIRSTIN DENTAL CLINIC

소아 신경치료,
왜 필요할까요?

  • 01 자연치를 보존해 씹기 기능과 발음을 유지합니다
  • 02 통증·염증을 줄여 식사·수면 등 일상을 회복합니다
  • 03 영구치 맹출 공간과 치열 성장을 보호합니다
  • 04 감염 확산·발치 위험을 낮추고 재치료 비용을 절감합니다

유치 신경치료

신경이 손상된 유치는 통증을 유발하고, 방치하면 영구치 손상이 올 수 있습니다.
유치 신경치료는 일반적으로 2회 내원 신경치료 및 크라운 치료까지 마무리 됩니다.

  • 1차 내원

    1차 내원에서는 국소마취 후 충치와 감염된 신경을 제거한 다음,
    충전재를 넣고 코어(core)를 형성합니다.

  • 2차 내원

    2차 내원에서는 국소마취 후 치아 모양을 정리하고,
    미리 만들어진 크라운을 치아에 맞게 조정한 후 접착하여 마무리합니다.

이런 분들에게
소아 신경치료를 추천드립니다.

  • 01 유치에 큰 충치가 있어 단순 충전만으로는 재발 가능성이 높은 경우

  • 02 유치 보존이 필요해 공간 유지·저작 기능을 계속 살려야 하는 경우

  • 03 한쪽으로만 씹는 등 저작 회피로 식습관·발음 발달에 영향을 주는 경우

  • 04 혼합치열기(영구치 맹출기)로 교정·치열 계획상 해당 치아 보존이 중요한 경우

소아 신경치료, 자주 묻는 질문을 모았습니다.

  • Q 우리 아이가 신경치료가 필요하다는 신호는 무엇인가요?

    단 음식·차가운 물에 유난히 예민해함, 밤에 깨서 아파함, 한쪽으로만 씹음, 잇몸에 작은 뾰루지나 고름이 보임, 외상 뒤 치아 색이 변함 등이 대표 신호입니다.
    이런 변화가 보이면 조기에 검진 받아 진행을 멈추는 것이 좋습니다.
  • Q 치료 방법은 무엇이 있나요?

    치아 뿌리 발육과 염증 범위에 따라 신경 일부를 보존하는 방법부터, 감염 조직을 제거하고 내부를 소독·밀폐하는 방법까지 단계가 달라집니다.
    아이의 나이·유치 잔존 기간·영구치 맹출 시기를 함께 고려해 가장 보존적인 방식을 우선합니다.
  • Q 방치하면 어떤 문제가 생기죠?

    염증이 퍼지면 부종·고름·열을 동반할 수 있고, 씹는 기능 저하로 식습관과 발음·성장에도 영향을 줍니다.
    유치가 조기 탈락하면 공간이 줄어 치열이 흐트러질 수 있어, 보존 가능한 시점에 치료하는 것이 가장 안전합니다.

퍼스트인치과만의 특별함

  • 성장단계 맞춤 진단·계획

    유치와 막 맹출한 영구치의 상태, 턱 성장과 치열 변화를 함께 살펴 아이의 나이와 발육에 맞춘 치료·예방 계획을 세웁니다. 불필요한 처치는 줄이고 꼭 필요한 시기에 알맞게 진행합니다.

  • 아이 눈높이 행동 관리·편안한 진료

    친숙한 설명과 단계적 적응, 부드러운 마취로 불안을 낮춥니다. 보호자와 함께 협력해 치료 협조도를 높이고, 통증·공포를 최소화한 안전한 환경을 제공합니다.

  • 예방 중심의 장기 관리

    정기 검진과 클리닝, 불소·실런트 등 예방 프로그램을 연계하고 양치·간식 습관, 공간유지·신경치료 후 관리까지 체계적으로 안내합니다. 아이가 스스로 실천할 수 있는 구강습관을 함께 만들어 갑니다.

  • 소아전용 진료실

    아이 눈높이에 맞춘 진료 의자와 장비, 편안한 색감의 인테리어로 처음 치과를 방문하는 아이도 부담을 덜 느끼도록 설계했습니다. 보호자가 곁에서 함께 지켜볼 수 있는 소아전용 공간에서 안전하고 편안하게 치료를 받을 수 있습니다.

  • 믿을 수 있는 의료진

    환자 맞춤 진단과 계획을 바탕으로 안전성을 최우선으로 진료하며, 진료 전·중·후 충분한 상담과 안내로 치료 과정의 부담을 줄여드립니다.

자연치아를 지키는 첫걸음,
퍼스트인치과에서 시작하세요.

    자연치아를 지키는 첫걸음,
    퍼스트인치과에서 시작하세요.

  • 오시는길

    경기도 파주시 와석순환로515번길 91, 404, 405호

    *스타필드빌리지 운정 맞은편에 위치해 있습니다.
  • 진료시간 안내

    • 월목

      09:30 - 20:30 (야간진료)
    • 화수금

      09:30 - 18:30
    • 토요일

      09:30 - 14:00
    • 점심시간

      13:00 - 14:00 (토요일 제외)
    *일 · 공휴일은 휴진입니다. 토요일은 점심시간 없이 진료합니다.
  • 상담 및 문의

개인정보처리방침

  • 제1조 (개인정보 수집에 대한 동의)

    퍼스트인치과는 이용자들이 회사의 개인정보취급방침 또는 이용약관의 내용에 대하여 “동의”버튼을 클릭하면 개인정보 수집에 대해 동의한 것으로 봅니다.

  • 제2조 (개인정보 수집항목)

    온라인 문의를 통한 상담을 위해 처리하는 개인정보 항목은 아래와 같습니다.
    수집항목: 이름, 전화번호, 이메일

  • 제3조 (개인정보의 이용목적)

    회사는 이용자의 사전 동의 없이는 이용자의 개인 정보를 공개하지 않으며, 원활한 고객상담, 각종 서비스의 제공을 위해 아래와 같이 개인정보를 수집하고 있습니다. 모든 정보는 상기 목적에 필요한 용도 이외로는 사용되지 않으며 수집 정보의 범위나 사용 목적, 용도가 변경될 시에는 반드시 사전 동의를 구할 것입니다.

    성명: 상담에 따른 본인 확인
    전화번호: 상담 및 이벤트 관련 고지사항 전달, 새로운 서비스 및 정보 제공(DM, SMS, 이메일 등 이용) 이용자는 개인정보의 수집/이용에 대한 동의를 거부할 수 있습니다.
    다만, 동의를 거부하는 경우 온라인 문의를 통한 상담은 불가하며 서비스 이용 및 혜택 제공에 제한을 받을 수 있습니다.

  • 제4조 (개인정보의 보유 및 이용기간)

    원칙적으로 개인정보 수집 및 이용목적이 달성된 후에는 해당 정보를 지체 없이 파기합니다. 그리고 상법, 전자상거래 등에서의 소비자보호에 관한 법률 등 관계법령의 규정에 의하여 보존할 필요가 있는 경우 회사는 관계법령에서 정한 일정한 기간 동안 정보를 보관합니다. 이 경우 회사는 보관하는 정보를 그 보관의 목적으로만 이용하며 보존기간은 아래와 같습니다.

    계약 또는 청약철회 등에 관한 기록: 5년(전자상거래등에서의 소비자보호에 관한 법률) 소비자의 불만 또는 분쟁처리에 관한 기록: 3년(전자상거래등에서의 소비자 보호에 관한 법률) 시용정보의 수집/처리 및 이용 등에 관한 기록: 3년(신용정보의 이용 및 보호에 관한 법률) 회사는 귀중한 이용자의 개인정보를 안전하게 처리하며, 유출의 방지를 위하여 다음과 같은 방법을 통하여 개인정보를 파기합니다. 종이에 출력된 개인정보는 분쇄기로 분쇄하거나 소각을 통하여 파기합니다. 전자적 파일 형태로 저장된 개인정보는 기록을 재생할 수 없는 기술적 방법을 사용하여 삭제합니다.