View

자연치아 살리기

불필요한 발치는 줄이고,
자연 치아의 수명과 기능을 지킵니다.

사랑니발치

부담을 줄인 발치 계획으로 통증과 불안을 낮추고 일상 복귀를 돕습니다.

반복되는 붓기·통증, 음식 끼임·구취, 이웃 어금니 손상 위험이 있을 때 사랑니 발치를 고려합니다.
개인별 치아 위치와 신경과의 거리를 확인한 뒤, 필요한 만큼만 안전하게 진행합니다.

시술 전 과정과 회복 예상을 쉽게 설명드리고, 시술 후에는 식사·양치·약 복용 등 관리법을 안내합니다.
맞춤 통증 관리와 체크 내원으로, 보다 편안하고 빠른 회복을 함께하겠습니다.

FIRSTIN DENTAL CLINIC FIRSTIN DENTAL CLINIC

사랑니발치,
왜 필요할까요?

  • 01 인접 어금니를 보호하고 통증·균열 위험을 줄일 수 있습니다.
  • 02 치열을 안정적으로 유지하여 배열이 흐트러지는 것을 예방합니다.
  • 03 양치 사각지대를 없애 충치와 잇몸염증의 재발을 막습니다.
  • 04 매복으로 인한 낭종·감염 등 합병증을 조기에 차단합니다.

이런 분들에게
사랑니발치를 추천드립니다.

  • 01 매복 사랑니 주위 잇몸염증으로 통증·붓기가 반복되는 분

  • 02 비스듬히 난 사랑니가 옆 어금니를 압박하거나 충치를 유발하는 분

  • 03 음식 끼임·구취가 지속되거나 잇몸이 자주 붓는 분

  • 04 치열 배열에 영향을 주어 앞니가 붐비거나 교정 치료에 방해가 되는 분

  • 05 X-ray/CT에서 낭종(뼈낭종)·완전 매복이 의심되는 분

  • 06 임플란트·보철 치료 계획을 위해 사랑니 관리가 선행되어야 하는 분

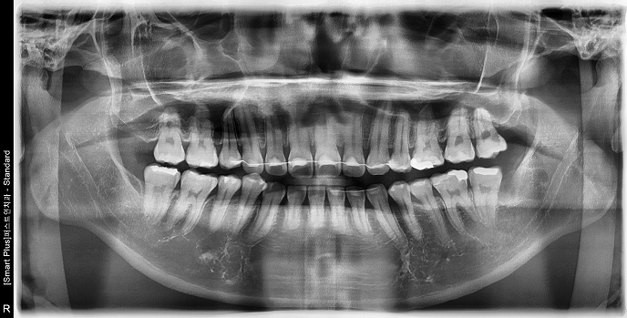
퍼스트인치과의 사랑니발치 과정

  • STEP 01 구강검진

    치아와 잇몸 전체 상태를 확인하고, 사랑니 발치 필요성과 시기를 판단합니다.

  • STEP 02 X-ray 확인

    뿌리 형태와 위치, 신경·상악동과의 거리를 파악해 안전한 발치 계획을 세웁니다.

  • STEP 03 상담 및 발치

    시술 과정을 충분히 설명드린 뒤 마취 후 최소 침습으로 발치를 진행하고, 회복 관리 방법을 안내합니다.

사랑니발치 주의사항

  • 거즈를 30–60분 꼭 물고 계세요.

    지혈이 우선입니다. 피가 스며들어도 자주 갈아끼우지 말고 압박을 유지하세요.

  • 첫 24시간은 빨대·세게 뱉기·가글을 피하세요.

    혈병이 빠지면 드라이소켓 위험이 높아집니다. 침은 삼키거나 살짝 닦아내세요.

  • 부기는 냉찜질, 다음 날부터는 온찜질로 전환하세요.

    수술 후 24–48시간은 얼음팩으로, 이후에는 따뜻한 찜질이 회복에 도움이 됩니다.

  • 부드럽고 미지근한 음식 위주로 드세요.

    매운 음식·뜨거운 국물·딱딱한 견과류는 피하고, 수술 부위로 씹지 마세요.

사랑니발치, 자주 묻는 질문을 모았습니다.

  • Q 어떤 경우에 발치를 권하나요?

    매복으로 통증·부종이 반복될 때, 옆 어금니를 압박하거나 충치를 일으킬 때,
    음식 끼임·구취가 지속될 때, X-ray/CT에서 낭종이 의심될 때 발치를 고려합니다.
  • Q 마취와 통증은 어느 정도인가요?

    국소 마취로 시술 중 통증은 최소화됩니다. 필요 시 진정 옵션을 안내드릴 수 있습니다.
    시술 후에는 며칠간 뻐근함·부종이 있을 수 있으며, 처방된 약 복용으로 조절됩니다.
  • Q 회복은 얼마나 걸리며 무엇을 조심해야 하나요?

    보통 2–3일 내 일상 활동이 가능하고, 부기는 3일째까지 증가 후 서서히 가라앉습니다.
    첫 24시간은 빨대·가글·세게 뱉기 금지, 부드럽고 미지근한 식사를 권장합니다.

BEFORE & AFTER

  • 20대 남성 | #38 사랑니발치 | 치료기간 당일

    Before 2022.06.24

    After 2022.06.24

  • 30대 여성 | #38 사랑니발치 | 치료기간 당일

    Before 2025.03.06

    After 2025.03.06

모든 치료사례 전후사진은 환자분의 동의하에 촬영되었습니다.
모든사진은 동일 환자분의 전후모습을 촬영하였으며, 사진의 밝기조절 외에 임의 수정이 없음을 알려드립니다.
모든 치료는 부작용의 우려가 있기때문에 의사와의 충분한 상담후에 치료가 진행됩니다.

View More

퍼스트인치과만의 특별함

  • 통합 진단·보존 중심 계획

    3D CT, 치주 상태와 신경·교합 평가를 함께 확인해 자연치아를 최대한 보존하는 치료 방안을 우선합니다. 불필요한 발치·삭제를 줄이고 재치료 가능성을 낮춥니다.

  • 세심한 통증 관리·안정 마취

    단계적 마취, 저자극 술식, 필요 시 진정 옵션으로 치료 중 불편을 최소화합니다. 신경치료·치주치료·사랑니발치 등 난이도 높은 시술도 체계적인 통증 관리 프로토콜로 안전하게 진행합니다.

  • 감염 관리·사후 모니터링

    표준 멸균과 1인 1기구 원칙을 준수하고, 처방·세정·생활수칙 안내로 시술 후 합병증을 예방합니다. 정기 검진과 교합·위생 체크로 수복물 안정성, 치주 건강, 신경/발치 부위 회복을 지속 관리합니다.

  • 믿을 수 있는 의료진

    환자 맞춤 진단과 계획을 바탕으로 안전성을 최우선으로 진료하며, 진료 전·중·후 충분한 상담과 안내로 치료 과정의 부담을 줄여드립니다.

자연치아를 지키는 첫걸음,
퍼스트인치과에서 시작하세요.

    자연치아를 지키는 첫걸음,
    퍼스트인치과에서 시작하세요.

  • 오시는길

    경기도 파주시 와석순환로515번길 91, 404, 405호

    *스타필드빌리지 운정 맞은편에 위치해 있습니다.
  • 진료시간 안내

    • 월목

      09:30 - 20:30 (야간진료)
    • 화수금

      09:30 - 18:30
    • 토요일

      09:30 - 14:00
    • 점심시간

      13:00 - 14:00 (토요일 제외)
    *일 · 공휴일은 휴진입니다. 토요일은 점심시간 없이 진료합니다.
  • 상담 및 문의

개인정보처리방침

  • 제1조 (개인정보 수집에 대한 동의)

    퍼스트인치과는 이용자들이 회사의 개인정보취급방침 또는 이용약관의 내용에 대하여 “동의”버튼을 클릭하면 개인정보 수집에 대해 동의한 것으로 봅니다.

  • 제2조 (개인정보 수집항목)

    온라인 문의를 통한 상담을 위해 처리하는 개인정보 항목은 아래와 같습니다.
    수집항목: 이름, 전화번호, 이메일

  • 제3조 (개인정보의 이용목적)

    회사는 이용자의 사전 동의 없이는 이용자의 개인 정보를 공개하지 않으며, 원활한 고객상담, 각종 서비스의 제공을 위해 아래와 같이 개인정보를 수집하고 있습니다. 모든 정보는 상기 목적에 필요한 용도 이외로는 사용되지 않으며 수집 정보의 범위나 사용 목적, 용도가 변경될 시에는 반드시 사전 동의를 구할 것입니다.

    성명: 상담에 따른 본인 확인
    전화번호: 상담 및 이벤트 관련 고지사항 전달, 새로운 서비스 및 정보 제공(DM, SMS, 이메일 등 이용) 이용자는 개인정보의 수집/이용에 대한 동의를 거부할 수 있습니다.
    다만, 동의를 거부하는 경우 온라인 문의를 통한 상담은 불가하며 서비스 이용 및 혜택 제공에 제한을 받을 수 있습니다.

  • 제4조 (개인정보의 보유 및 이용기간)

    원칙적으로 개인정보 수집 및 이용목적이 달성된 후에는 해당 정보를 지체 없이 파기합니다. 그리고 상법, 전자상거래 등에서의 소비자보호에 관한 법률 등 관계법령의 규정에 의하여 보존할 필요가 있는 경우 회사는 관계법령에서 정한 일정한 기간 동안 정보를 보관합니다. 이 경우 회사는 보관하는 정보를 그 보관의 목적으로만 이용하며 보존기간은 아래와 같습니다.

    계약 또는 청약철회 등에 관한 기록: 5년(전자상거래등에서의 소비자보호에 관한 법률) 소비자의 불만 또는 분쟁처리에 관한 기록: 3년(전자상거래등에서의 소비자 보호에 관한 법률) 시용정보의 수집/처리 및 이용 등에 관한 기록: 3년(신용정보의 이용 및 보호에 관한 법률) 회사는 귀중한 이용자의 개인정보를 안전하게 처리하며, 유출의 방지를 위하여 다음과 같은 방법을 통하여 개인정보를 파기합니다. 종이에 출력된 개인정보는 분쇄기로 분쇄하거나 소각을 통하여 파기합니다. 전자적 파일 형태로 저장된 개인정보는 기록을 재생할 수 없는 기술적 방법을 사용하여 삭제합니다.