View

심미치료

개인의 얼굴·치아 조화를 고려한 맞춤 심미치료
자연스럽게 밝고 균형 잡힌 미소를 되찾습니다.

심미보철

개인의 얼굴·스마일 라인에 맞춰 자연스러운 색과 형태를 회복하고,
불필요한 삭제는 줄이는 보존적 접근을 지향합니다.

변색·파절·넓은 충치로 치아 형태 보정이 필요할 때, 비율과 라인을 고려해 맞춤 설계를 진행합니다.
사진·색 분석과 모의 디자인(임시 보철)을 통해 최종 이미지를 미리 확인하고, 단계적으로 정확도를 높입니다.

최종 보철은 정밀 인상(또는 디지털 스캔)과 세심한 접착으로 완성하며, 교합과 접촉점을 조정해 사용감을 높입니다.
이후 정기 점검과 폴리싱·홈케어 가이드를 통해 심미 결과가 오래 유지되도록 관리합니다.

FIRSTIN DENTAL CLINIC FIRSTIN DENTAL CLINIC

퍼스트인치과의 심미보철,
이런 점이 다릅니다.

  • 손상된 치아 보호

    남아 있는 치질을 우선 보존하고 필요한 범위만 보강해 파절·재치료 위험을 낮춥니다.

  • 심미성과 기능 개선

    색·형태·라인을 얼굴과 조화롭게 설계하고, 교합을 세밀히 조정해 편안한 사용감을 제공합니다.

  • 치아 사이 공간 보완

    블랙 트라이앵글·비대칭 공간을 자연스럽게 메워 미소 라인을 매끈하게 정돈합니다.

이런 분들에게
심미보철을 추천드립니다.

  • 01 넓은 충치·파절 등으로 치아 형태와 기능을 함께 복원해야 하는 분

  • 02 치아 길이·폭·비율 불균형으로 미소 라인 보정이 필요한 분

  • 03 변색·마모가 심해 레진만으로는 심미·내구 확보가 어려운 분

  • 04 교합(물림) 안정과 심미를 동시에 개선하고 싶은 분

  • 05 치열·스마일 라인과 조화를 이루는 맞춤 보철을 원하는 분

  • 06 오래된 보철(색 변화·가장자리 누출 등)의 교체가 필요한 분

심미보철의 종류

  • 라미네이트

    앞니 표면을 보존적으로 다듬어 얇은 보철로 색·형태·틈(공간)을 개선합니다.
    변색·모서리 파절·가벼운 배열 보정에 적합합니다.

    ※ 교합력이 큰 경우 보호장치 등 추가 관리가 도움이 됩니다.
  • 올세라믹 지르코니아 크라운

    치아 전체를 감싸는 형태의 보철로, 결손이 크거나 파절·변색이 심한 경우
    형태와 기능·심미를 함께 회복합니다. 상태에 따라 신경치료가 동반될 수 있습니다.

    ※ 삭제 범위·치아 상태에 따라 치료 단계가 달라질 수 있습니다.
  • PFZ(Porcelain Fused Zirconia) 크라운

    지르코니아 위에 포세린을 레이어드한 이중 구조의 치과 보철물로,
    앞니 심미 치료에 특히 많이 사용하는 재료입니다.

    ※ 장착 후 1–2주 내 적응 확인 및 교합 점검을 권장합니다.

심미보철 주의사항

  • 장착 당일은 딱딱한 음식·끈적한 음식은 피하세요.

    접착 직후에는 부드럽고 미지근한 식사가 안전합니다.

  • 치실은 옆으로 빼고, 브리지는 보조 치실을 사용하세요.

    위로 당기면 이탈 위험이 커집니다. 하단 실끼움형 치실로 하부 위생을 관리하세요.

  • 시림·이물감은 1–2주 내 적응되는 경우가 많습니다.

    불편이 지속되면 교합(물림) 미세 조정이 필요할 수 있으니 내원해 주세요.

  • 임시 보철 사용 중 탈락 시 임의 접착은 금지입니다.

    깨끗이 보관해 내원해 주시면 안전하게 재부착해 드립니다.

심미보철, 자주 묻는 질문을 모았습니다.

  • Q 어떤 보철을 선택하나요? 기준이 궁금합니다.

    손상 범위·남은 치질·교합 상태·미소 라인 등을 종합해 결정합니다.
    부분 개선은 보존적 보철(비니어 등), 큰 결손·균열은 전체 보강(크라운), 결손부가 크면 브리지를 고려합니다.
  • Q 기간과 방문 횟수는 얼마나 걸리나요?

    일반적으로 2–3회 내원으로 진행되며, 진단/설계 → 임시 보철 확인 → 최종 장착 순서로 진행합니다.
    교합 조정이나 색·형태 미세 보정이 필요한 경우 방문이 추가될 수 있습니다.
  • Q 장착 후 관리와 주의사항은 무엇인가요?

    장착 당일은 딱딱·끈적한 음식은 피하고, 치실은 옆으로 빼주세요(브리지는 보조 치실 권장).
    시림·이물감은 1–2주 내 적응되는 경우가 많으며, 불편이 지속되면 교합 미세 조정을 받으세요.
    정기 점검과 폴리싱·홈케어로 심미와 적합도를 오래 유지할 수 있습니다.

BEFORE & AFTER

  • 40대 여성 | 이차우식 | #11,21 라미네이트 | 치료기간 2주

    Before 2025.07.05

    After 2025.07.19

  • 70대 여성 | #12=22 크라운, 하악 부분교정 | 치료기간 6개월

    Before 2024.06.19

    After 2024.12.27

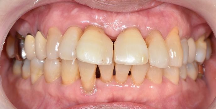
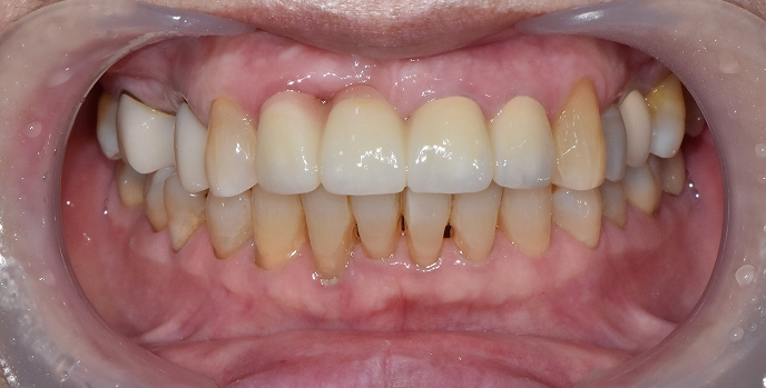
  • 60대 남성 | 교모 | 전악 크라운 수복 | 치료기간 3개월

    Before 2024.08.05

    After 2024.11.05

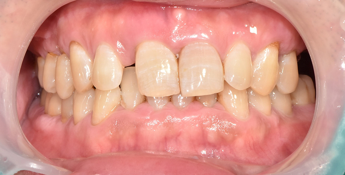
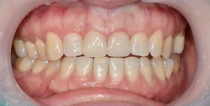
  • 40대 남성 | #11,21 치주염 | #12=22 브릿지 | 치료기간 3개월

    Before 2023.12.14

    After 2024.03.04

모든 치료사례 전후사진은 환자분의 동의하에 촬영되었습니다.
모든사진은 동일 환자분의 전후모습을 촬영하였으며, 사진의 밝기조절 외에 임의 수정이 없음을 알려드립니다.
모든 치료는 부작용의 우려가 있기때문에 의사와의 충분한 상담후에 치료가 진행됩니다.

View More

퍼스트인치과만의 특별함

  • 개인 맞춤 심미진단·설계

    얼굴 비율과 스마일 라인, 잇몸 라인을 함께 고려해 진단합니다. 사진 프로토콜과 색 분석(쉐이드 매칭), 모의 설계(목업)로 심미레진·심미보철·치아미백 모두에서 자연스러운 조화를 목표로 합니다.

  • 최소 삭제·자연스러움 우선

    불필요한 삭제를 줄이고, 필요한 만큼만 섬세하게 다룹니다. 본연의 질감·투명감·형태를 최대한 살립니다.

  • 품질 관리·유지 관리

    재료 선택과 기공소 협업으로 적합도와 색 안정성을 높이고, 폴리싱·광택 관리, 교합 점검, 홈케어 가이드를 통해 심미 효과가 오래 유지되도록 정기적으로 모니터링합니다.

  • 믿을 수 있는 의료진

    환자 맞춤 진단과 계획을 바탕으로 안전성을 최우선으로 진료하며, 진료 전·중·후 충분한 상담과 안내로 치료 과정의 부담을 줄여드립니다.

자연치아를 지키는 첫걸음,
퍼스트인치과에서 시작하세요.

    자연치아를 지키는 첫걸음,
    퍼스트인치과에서 시작하세요.

  • 오시는길

    경기도 파주시 와석순환로515번길 91, 404, 405호

    *스타필드빌리지 운정 맞은편에 위치해 있습니다.
  • 진료시간 안내

    • 월목

      09:30 - 20:30 (야간진료)
    • 화수금

      09:30 - 18:30
    • 토요일

      09:30 - 14:00
    • 점심시간

      13:00 - 14:00 (토요일 제외)
    *일 · 공휴일은 휴진입니다. 토요일은 점심시간 없이 진료합니다.
  • 상담 및 문의

개인정보처리방침

  • 제1조 (개인정보 수집에 대한 동의)

    퍼스트인치과는 이용자들이 회사의 개인정보취급방침 또는 이용약관의 내용에 대하여 “동의”버튼을 클릭하면 개인정보 수집에 대해 동의한 것으로 봅니다.

  • 제2조 (개인정보 수집항목)

    온라인 문의를 통한 상담을 위해 처리하는 개인정보 항목은 아래와 같습니다.
    수집항목: 이름, 전화번호, 이메일

  • 제3조 (개인정보의 이용목적)

    회사는 이용자의 사전 동의 없이는 이용자의 개인 정보를 공개하지 않으며, 원활한 고객상담, 각종 서비스의 제공을 위해 아래와 같이 개인정보를 수집하고 있습니다. 모든 정보는 상기 목적에 필요한 용도 이외로는 사용되지 않으며 수집 정보의 범위나 사용 목적, 용도가 변경될 시에는 반드시 사전 동의를 구할 것입니다.

    성명: 상담에 따른 본인 확인
    전화번호: 상담 및 이벤트 관련 고지사항 전달, 새로운 서비스 및 정보 제공(DM, SMS, 이메일 등 이용) 이용자는 개인정보의 수집/이용에 대한 동의를 거부할 수 있습니다.
    다만, 동의를 거부하는 경우 온라인 문의를 통한 상담은 불가하며 서비스 이용 및 혜택 제공에 제한을 받을 수 있습니다.

  • 제4조 (개인정보의 보유 및 이용기간)

    원칙적으로 개인정보 수집 및 이용목적이 달성된 후에는 해당 정보를 지체 없이 파기합니다. 그리고 상법, 전자상거래 등에서의 소비자보호에 관한 법률 등 관계법령의 규정에 의하여 보존할 필요가 있는 경우 회사는 관계법령에서 정한 일정한 기간 동안 정보를 보관합니다. 이 경우 회사는 보관하는 정보를 그 보관의 목적으로만 이용하며 보존기간은 아래와 같습니다.

    계약 또는 청약철회 등에 관한 기록: 5년(전자상거래등에서의 소비자보호에 관한 법률) 소비자의 불만 또는 분쟁처리에 관한 기록: 3년(전자상거래등에서의 소비자 보호에 관한 법률) 시용정보의 수집/처리 및 이용 등에 관한 기록: 3년(신용정보의 이용 및 보호에 관한 법률) 회사는 귀중한 이용자의 개인정보를 안전하게 처리하며, 유출의 방지를 위하여 다음과 같은 방법을 통하여 개인정보를 파기합니다. 종이에 출력된 개인정보는 분쇄기로 분쇄하거나 소각을 통하여 파기합니다. 전자적 파일 형태로 저장된 개인정보는 기록을 재생할 수 없는 기술적 방법을 사용하여 삭제합니다.