View

심미치료

개인의 얼굴·치아 조화를 고려한 맞춤 심미치료
자연스럽게 밝고 균형 잡힌 미소를 되찾습니다.

심미 레진치료

심미치료 전용 레진(Palfique Omnichroma)으로
자연치아 본래의 색·형태·투명감을 재현합니다.

앞니 파절·틈(블랙 트라이앵글 포함)·변색, 작은 충치·마모 등을 치아색 레진으로 정밀 복원합니다.
Palfique Omnichroma의 균일한 구형 필러(Supra-nano spherical filler)를 활용해
하나의 쉐이드로도 주변 치아 색과 자연스럽게 매칭되도록 레이어링(층상 빌드업)과 미세 조형·광택 연마로 질감을 섬세하게 표현합니다.
치료는 대개 당일 완성되며, 복잡한 쉐이드 선택 단계를 줄여 수복 진료 시간을 효율적으로 단축합니다.
교합(물림)과 접촉점을 세심히 조정해 사용감을 높이고, 시술 후에는 착색성 음식·음료만 잠시 주의해 주시면 됩니다.

필요 시 리페어·재연마가 가능해 장기적인 유지 관리도 용이합니다.

FIRSTIN DENTAL CLINIC FIRSTIN DENTAL CLINIC

심미레진,
왜 필요할까요?

  • 01 앞니 파절·틈·변색을 빠르게 복원해 즉시 심미 개선
  • 02 최소 삭제로 건강한 치질 보존, 크라운으로 가는 치료를 늦춤
  • 03 치아색 레이어링으로 색·형태·투명감을 자연스럽게 재현
  • 04 필요 시 리페어·재연마 가능해 유지·관리 용이

퍼스트인치과는 최소 삭제로 본연의 치질을 지키고,
자연스러운 색·형태를 구현하는 심미레진을 지향합니다.

  • 정교한 색·형태 매칭
  • 최소삭제 보존
  • 자연스러운 질감·광택
  • 리페어·유지관리 용이

이런 분들에게
심미레진을 추천드립니다.

  • 01 앞니 파절·틈(공간)·모서리 마모를 자연스럽게 복원하고 싶은 분

  • 02 변색·화이트스팟·색 얼룩 등으로 미소 라인을 균일하게 정돈하고 싶은 분

  • 03 최소 삭제로 빠른 심미 개선(당일 치료)을 원하는 분

  • 04 크라운까지는 필요 없지만 형태·비율 보정이 필요한 분(치아 길이·폭 불균형 등)

심미레진의 주요 포인트

  • POINT 01 습도 차단과 접착 관리

    강한 접착과 수명을 위해 Isodam등으로 수분·침을 차단하고, 표면 처리와 접착 과정을 정교하게 관리합니다.

  • POINT 02 레이어링과 해부학적 조형

    치아의 해부학적 구조를 한 층씩 쌓아 올리는 레진 빌드업으로 색·투명도·형태를 섬세하게 재현합니다. 술자의 해부학 지식과 손기술이 완성도를 좌우합니다.

심미레진 주의사항

  • 시술 후 24–48시간은 착색성 음식·음료를 피하세요.

    커피·차·와인·카레·콜라·진한 소스 등은 변색을 유발할 수 있습니다.

  • 앞니 수복 시 딱딱한 음식·앞니로 ‘뚝’ 끊어 먹는 습관을 삼가세요.

    견과류·씨, 질긴 음식은 파절·치핑의 원인이 됩니다.

  • 치실은 아래로 ‘툭’ 끊지 말고 옆으로 빼주세요.

    접촉부 수복 후에는 치실을 위아래로 움직인 뒤 옆으로 빼면 이탈·손상을 줄일 수 있습니다.

  • 초기 시림·이물감은 1–2주 내 적응됩니다.

    지속되는 불편이나 높게 느껴지면 교합 조정이 필요할 수 있으니 내원해 주세요. 정기 폴리싱·재연마로 광택과 색 안정성을 유지할 수 있습니다.

심미레진, 자주 묻는 질문을 모았습니다.

  • 치아색 레진으로 앞니 파절, 틈(공간), 변색, 작은 충치·마모 등을 자연스럽게 복원하는 치료입니다.
    크라운까지는 필요 없고, 최소 삭제로 빠른 심미 개선이 필요할 때 적합합니다.
  • Q 치료 시간과 당일 완성이 가능한가요?

    케이스에 따라 30–60분 내외로 진행되며, 대부분 당일에 마무리됩니다.
    복원 범위가 넓거나 색·층 레이어링이 정교할수록 시간이 더 필요할 수 있습니다.
  • Q 착색이나 파절을 줄이려면 어떻게 관리해야 하나요?

    시술 후 24–48시간은 커피·차·와인·카레 등 착색성 음식·음료를 피하세요.
    앞니로 딱딱한 음식 ‘뚝’ 끊어 먹는 습관을 줄이고, 정기 폴리싱·재연마로 광택과 색 안정성을 유지합니다.
  • Q 수명은 어느 정도이며, 문제가 생기면 어떻게 하나요?

    구강위생·교합 습관·복원 범위에 따라 다르며, 평균적으로 수년간 사용 가능합니다.
    가장자리 누출·미세 파절이 생기면 부분 리페어 또는 재연마로 보완이 가능하며, 필요 시 재제작을 안내드립니다.

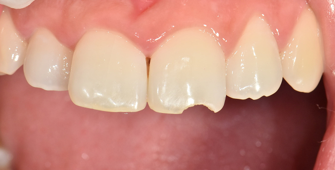
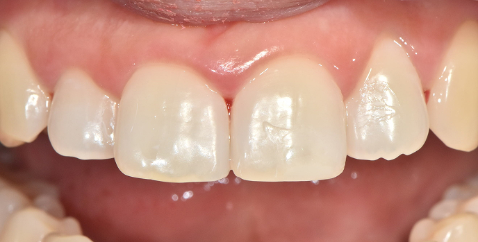
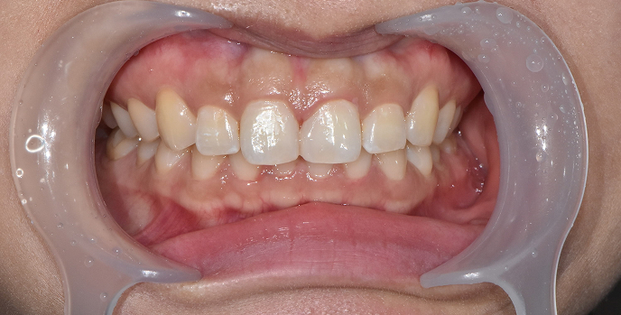
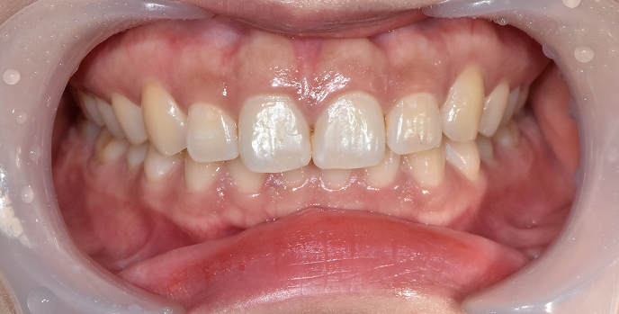
BEFORE & AFTER

  • 30대 여성 | 상악 다이아스테마 | 치료기간 당일

    Before 2025.11.06

    After 2025.11.06

  • 20대 여성 | #21 절단연 파절 | 레진수복 | 치료기간 당일

    Before 2025.08.13

    After 2025.08.13

모든 치료사례 전후사진은 환자분의 동의하에 촬영되었습니다.
모든사진은 동일 환자분의 전후모습을 촬영하였으며, 사진의 밝기조절 외에 임의 수정이 없음을 알려드립니다.
모든 치료는 부작용의 우려가 있기때문에 의사와의 충분한 상담후에 치료가 진행됩니다.

View More

퍼스트인치과만의 특별함

  • 개인 맞춤 심미진단·설계

    얼굴 비율과 스마일 라인, 잇몸 라인을 함께 고려해 진단합니다. 사진 프로토콜과 색 분석(쉐이드 매칭), 모의 설계(목업)로 심미레진·심미보철·치아미백 모두에서 자연스러운 조화를 목표로 합니다.

  • 최소 삭제·자연스러움 우선

    불필요한 삭제를 줄이고, 필요한 만큼만 섬세하게 다룹니다. 본연의 질감·투명감·형태를 최대한 살립니다.

  • 품질 관리·유지 관리

    재료 선택과 기공소 협업으로 적합도와 색 안정성을 높이고, 폴리싱·광택 관리, 교합 점검, 홈케어 가이드를 통해 심미 효과가 오래 유지되도록 정기적으로 모니터링합니다.

  • 믿을 수 있는 의료진

    환자 맞춤 진단과 계획을 바탕으로 안전성을 최우선으로 진료하며, 진료 전·중·후 충분한 상담과 안내로 치료 과정의 부담을 줄여드립니다.

자연치아를 지키는 첫걸음,
퍼스트인치과에서 시작하세요.

    자연치아를 지키는 첫걸음,
    퍼스트인치과에서 시작하세요.

  • 오시는길

    경기도 파주시 와석순환로515번길 91, 404, 405호

    *스타필드빌리지 운정 맞은편에 위치해 있습니다.
  • 진료시간 안내

    • 월목

      09:30 - 20:30 (야간진료)
    • 화수금

      09:30 - 18:30
    • 토요일

      09:30 - 14:00
    • 점심시간

      13:00 - 14:00 (토요일 제외)
    *일 · 공휴일은 휴진입니다. 토요일은 점심시간 없이 진료합니다.
  • 상담 및 문의

개인정보처리방침

  • 제1조 (개인정보 수집에 대한 동의)

    퍼스트인치과는 이용자들이 회사의 개인정보취급방침 또는 이용약관의 내용에 대하여 “동의”버튼을 클릭하면 개인정보 수집에 대해 동의한 것으로 봅니다.

  • 제2조 (개인정보 수집항목)

    온라인 문의를 통한 상담을 위해 처리하는 개인정보 항목은 아래와 같습니다.
    수집항목: 이름, 전화번호, 이메일

  • 제3조 (개인정보의 이용목적)

    회사는 이용자의 사전 동의 없이는 이용자의 개인 정보를 공개하지 않으며, 원활한 고객상담, 각종 서비스의 제공을 위해 아래와 같이 개인정보를 수집하고 있습니다. 모든 정보는 상기 목적에 필요한 용도 이외로는 사용되지 않으며 수집 정보의 범위나 사용 목적, 용도가 변경될 시에는 반드시 사전 동의를 구할 것입니다.

    성명: 상담에 따른 본인 확인
    전화번호: 상담 및 이벤트 관련 고지사항 전달, 새로운 서비스 및 정보 제공(DM, SMS, 이메일 등 이용) 이용자는 개인정보의 수집/이용에 대한 동의를 거부할 수 있습니다.
    다만, 동의를 거부하는 경우 온라인 문의를 통한 상담은 불가하며 서비스 이용 및 혜택 제공에 제한을 받을 수 있습니다.

  • 제4조 (개인정보의 보유 및 이용기간)

    원칙적으로 개인정보 수집 및 이용목적이 달성된 후에는 해당 정보를 지체 없이 파기합니다. 그리고 상법, 전자상거래 등에서의 소비자보호에 관한 법률 등 관계법령의 규정에 의하여 보존할 필요가 있는 경우 회사는 관계법령에서 정한 일정한 기간 동안 정보를 보관합니다. 이 경우 회사는 보관하는 정보를 그 보관의 목적으로만 이용하며 보존기간은 아래와 같습니다.

    계약 또는 청약철회 등에 관한 기록: 5년(전자상거래등에서의 소비자보호에 관한 법률) 소비자의 불만 또는 분쟁처리에 관한 기록: 3년(전자상거래등에서의 소비자 보호에 관한 법률) 시용정보의 수집/처리 및 이용 등에 관한 기록: 3년(신용정보의 이용 및 보호에 관한 법률) 회사는 귀중한 이용자의 개인정보를 안전하게 처리하며, 유출의 방지를 위하여 다음과 같은 방법을 통하여 개인정보를 파기합니다. 종이에 출력된 개인정보는 분쇄기로 분쇄하거나 소각을 통하여 파기합니다. 전자적 파일 형태로 저장된 개인정보는 기록을 재생할 수 없는 기술적 방법을 사용하여 삭제합니다.