View

심미치료

개인의 얼굴·치아 조화를 고려한 맞춤 심미치료
자연스럽게 밝고 균형 잡힌 미소를 되찾습니다.

치아미백

당신의 미소를 바꾸는 첫걸음, 퍼스트인치과 치아미백

치아의 톤은 표정의 분위기와 인상을 바꾸는 힘이 있습니다.
맑고 균일한 색감은 얼굴을 더 생기 있게 보이게 하고, 사진 속 미소까지 선명하게 살려 줍니다.

퍼스트인치과는 생활 착색부터 오래된 변색까지 원인을 세심히 파악해, 개인별 목표 밝기에 맞춘 계획을 제안합니다.
진료실에서의 전문 미백과 맞춤 트레이 방식 등을 상황에 맞춰 조합해, 과한 자극은 줄이고 원하는 결과는 빠르게 앞당깁니다.

시술 후에는 밝기를 오래 유지할 수 있도록 식습관·홈케어 루틴과 리터치 시점까지 안내드립니다.
작은 색 변화가 일상과 자신감을 바꾸는 경험, 퍼스트인치과가 함께하겠습니다.

FIRSTIN DENTAL CLINIC FIRSTIN DENTAL CLINIC

퍼스트인치과의 치아미백,
이런 점이 다릅니다.

  • 자연스러운 톤 업그레이드

    개인별 목표 밝기에 맞춰 과도한 백탁 없이 맑고 균일한 색감을 구현합니다.

  • 얼룩·색 불균형 개선

    생활 착색과 부분 변색을 집중 보정해 미소 라인을 깔끔하게 정돈합니다.

  • 시림 최소화·안전한 관리

    농도·도포 시간·잇몸 보호를 세밀하게 조절해 편안하고 안전한 미백을 제공합니다.

이런 분들에게
치아미백을 추천드립니다.

  • 01 커피·차·와인·흡연 등으로 생활 착색이 누적된 분

  • 02 사진·대면이 많은 일정(면접·행사·웨딩)을 앞둔 분

  • 03 잇몸·치아 건강은 양호하지만 미소 톤을 자연스럽게 밝히고 싶은 분

  • 04 교정·보철 전후 주변 치아와 색 톤을 맞추고 싶은 분

  • 05 불균일한 착색(치경부·치면 얼룩)으로 미소 라인이 칙칙한 분

  • 06 홈케어 위주의 유지·리터치로 밝기를 오래 유지하고 싶은 분

더 밝은 미소를 위한 치아미백의 전 과정

  • STEP 01

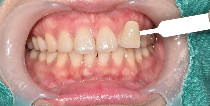
    상담 및 색상 진단

    현재 치아 명도를 측정하고 목표 톤을 설정합니다. 미백 적응증과 시림 위험을 함께 평가합니다.

  • STEP 02

    치면 세정 & 잇몸 보호

    착색과 플라크를 제거해 약제가 잘 작용하도록 준비하고, 잇몸 보호제를 도포해 자극을 최소화합니다.

  • STEP 03

    미백제 도포

    치아 표면에 농도와 범위를 맞춰 미백제를 균일하게 도포합니다. 개인별 상태에 따라 도포 시간을 조절합니다.

  • STEP 04

    광조사 & 반복 진행

    전용 광원을 조사하며 반응을 확인해 2–3회 반복합니다. 마무리로 시림 완화제를 적용하고 결과를 확인합니다.

치아미백 주의사항

  • 시술 후 24–48시간은 착색성 음식·음료를 피하세요.

    커피·차·와인·콜라·베리류·카레·진한 소스, 흡연은 변색을 유발할 수 있습니다.

  • 시림이 느껴질 수 있습니다.

    대부분 일시적이며 1–3일 내 호전됩니다. 시림이 심하면 지시된 지각과민 완화제를 사용하고, 너무 차갑거나 뜨거운 음식은 피하세요.

  • 잇몸·입술이 따갑다면 즉시 닦아내고 알려주세요.

    미백제가 닿은 연조직은 일시적으로 자극을 받을 수 있습니다. 증상이 지속되면 내원해 점검받으세요.

  • 유지 관리로 밝기를 오래 유지하세요.

    정기 폴리싱, 올바른 칫솔질·치실 사용, 착색 습관 조절이 중요합니다. 필요 시 리터치 시점을 상담드립니다.

치아미백, 자주 묻는 질문을 모았습니다.

  • Q 시술 시간과 횟수는 어떻게 되나요?

    의원 내 미백은 1회 약 60–90분 진행하며, 상태에 따라 1–3회 반복할 수 있습니다.
    홈미백은 맞춤 트레이로 1–2주간 매일 안내 시간만큼 사용합니다.
  • Q 시림이 걱정돼요. 안전한가요?

    농도·도포 시간·범위를 조절해 자극을 최소화합니다.
    일시적 시림이 있을 수 있으나 대개 1–3일 내 호전되며, 필요 시 지각과민 완화제를 병행합니다.
  • Q 효과는 얼마나 지속되며, 유지 방법은?

    개인 습관에 따라 수개월~수년 유지됩니다.
    착색성 음식·흡연을 줄이고 정기 폴리싱·홈케어를 병행하면 지속 기간이 길어집니다. 필요 시 간단한 리터치로 톤을 다시 올릴 수 있습니다.

BEFORE & AFTER

  • 40대 남성 | 치아미백 | 3회

    Before 2025.07.05

    After 2025.07.19

  • 30대 여성 | 치아미백 | 3회

    Before 2024.06.19

    After 2024.12.27

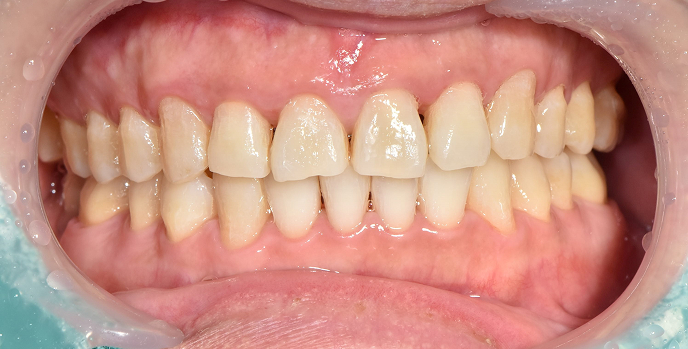
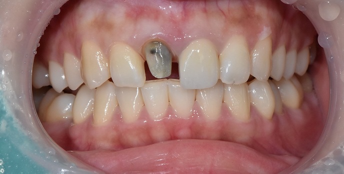
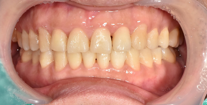
  • 30대 여성 | #11,#21 실활치 미백 | 2회

    Before 2024.08.05

    After 2024.11.05

모든 치료사례 전후사진은 환자분의 동의하에 촬영되었습니다.
모든사진은 동일 환자분의 전후모습을 촬영하였으며, 사진의 밝기조절 외에 임의 수정이 없음을 알려드립니다.
모든 치료는 부작용의 우려가 있기때문에 의사와의 충분한 상담후에 치료가 진행됩니다.

View More

퍼스트인치과만의 특별함

  • 개인 맞춤 심미진단·설계

    얼굴 비율과 스마일 라인, 잇몸 라인을 함께 고려해 진단합니다. 사진 프로토콜과 색 분석(쉐이드 매칭), 모의 설계(목업)로 심미레진·심미보철·치아미백 모두에서 자연스러운 조화를 목표로 합니다.

  • 최소 삭제·자연스러움 우선

    불필요한 삭제를 줄이고, 필요한 만큼만 섬세하게 다룹니다. 본연의 질감·투명감·형태를 최대한 살립니다.

  • 품질 관리·유지 관리

    재료 선택과 기공소 협업으로 적합도와 색 안정성을 높이고, 폴리싱·광택 관리, 교합 점검, 홈케어 가이드를 통해 심미 효과가 오래 유지되도록 정기적으로 모니터링합니다.

  • 믿을 수 있는 의료진

    환자 맞춤 진단과 계획을 바탕으로 안전성을 최우선으로 진료하며, 진료 전·중·후 충분한 상담과 안내로 치료 과정의 부담을 줄여드립니다.

자연치아를 지키는 첫걸음,
퍼스트인치과에서 시작하세요.

    자연치아를 지키는 첫걸음,
    퍼스트인치과에서 시작하세요.

  • 오시는길

    경기도 파주시 와석순환로515번길 91, 404, 405호

    *경의성 운정역 1번출구 힐스테이트더운정 스타필드빌리지 맞은편에 위치해 있습니다.
  • 진료시간 안내

    • 월목

      09:30 - 20:30
    • 화수금

      09:30 - 16:30
    • 토요일

      09:00 - 14:00
    • 점심시간

      13:00 - 14:30
    *일 · 공휴일은 휴진입니다. 토요일은 점심시간 없이 진료합니다.
  • 상담 및 문의

개인정보처리방침

  • 제1조 (개인정보 수집에 대한 동의)

    퍼스트인치과는 이용자들이 회사의 개인정보취급방침 또는 이용약관의 내용에 대하여 “동의”버튼을 클릭하면 개인정보 수집에 대해 동의한 것으로 봅니다.

  • 제2조 (개인정보 수집항목)

    온라인 문의를 통한 상담을 위해 처리하는 개인정보 항목은 아래와 같습니다.
    수집항목: 이름, 전화번호, 이메일

  • 제3조 (개인정보의 이용목적)

    회사는 이용자의 사전 동의 없이는 이용자의 개인 정보를 공개하지 않으며, 원활한 고객상담, 각종 서비스의 제공을 위해 아래와 같이 개인정보를 수집하고 있습니다. 모든 정보는 상기 목적에 필요한 용도 이외로는 사용되지 않으며 수집 정보의 범위나 사용 목적, 용도가 변경될 시에는 반드시 사전 동의를 구할 것입니다.

    성명: 상담에 따른 본인 확인
    전화번호: 상담 및 이벤트 관련 고지사항 전달, 새로운 서비스 및 정보 제공(DM, SMS, 이메일 등 이용) 이용자는 개인정보의 수집/이용에 대한 동의를 거부할 수 있습니다.
    다만, 동의를 거부하는 경우 온라인 문의를 통한 상담은 불가하며 서비스 이용 및 혜택 제공에 제한을 받을 수 있습니다.

  • 제4조 (개인정보의 보유 및 이용기간)

    원칙적으로 개인정보 수집 및 이용목적이 달성된 후에는 해당 정보를 지체 없이 파기합니다. 그리고 상법, 전자상거래 등에서의 소비자보호에 관한 법률 등 관계법령의 규정에 의하여 보존할 필요가 있는 경우 회사는 관계법령에서 정한 일정한 기간 동안 정보를 보관합니다. 이 경우 회사는 보관하는 정보를 그 보관의 목적으로만 이용하며 보존기간은 아래와 같습니다.

    계약 또는 청약철회 등에 관한 기록: 5년(전자상거래등에서의 소비자보호에 관한 법률) 소비자의 불만 또는 분쟁처리에 관한 기록: 3년(전자상거래등에서의 소비자 보호에 관한 법률) 시용정보의 수집/처리 및 이용 등에 관한 기록: 3년(신용정보의 이용 및 보호에 관한 법률) 회사는 귀중한 이용자의 개인정보를 안전하게 처리하며, 유출의 방지를 위하여 다음과 같은 방법을 통하여 개인정보를 파기합니다. 종이에 출력된 개인정보는 분쇄기로 분쇄하거나 소각을 통하여 파기합니다. 전자적 파일 형태로 저장된 개인정보는 기록을 재생할 수 없는 기술적 방법을 사용하여 삭제합니다.